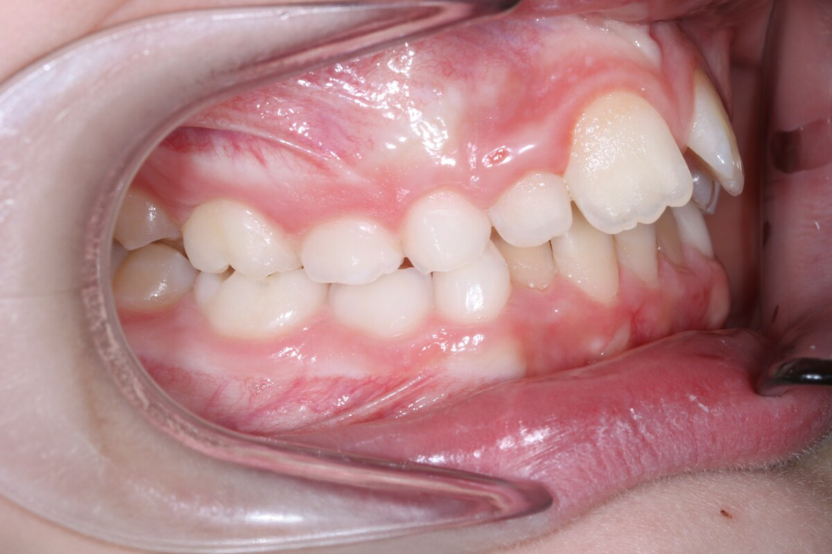
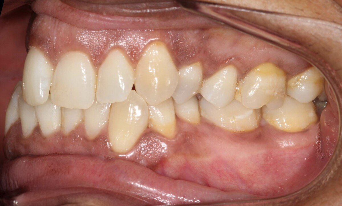
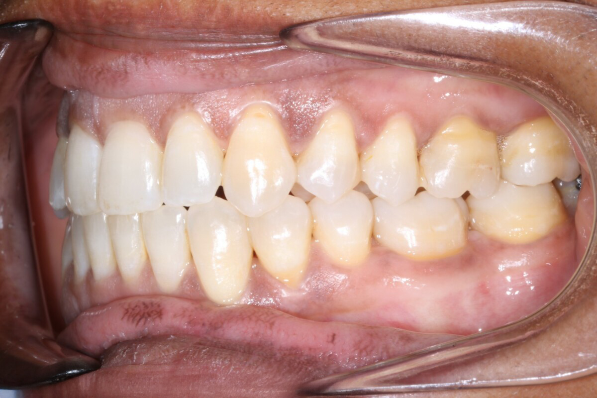
Correctie overbeet
D.m.v. een Activator (blokbeugel)
D.m.v. een Activator (blokbeugel)






D.m.v. Aligners (doorzichtige hoesjes) van Spark of Invisalign






D.m.v. Aligners Spark of Invisalign bovenkaak


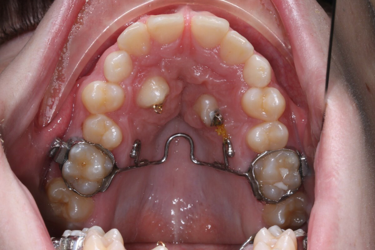
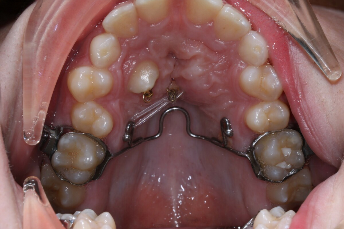
Door de kaakchirurg verplaatsen van een eigen tand of kies naar een plek in de mond waar deze ontbreekt




Wordt uitgevoerd door de kaakchirurg, meestal gecombineerd met een beugelbehandeling, uitgevoerd door de orthodontist






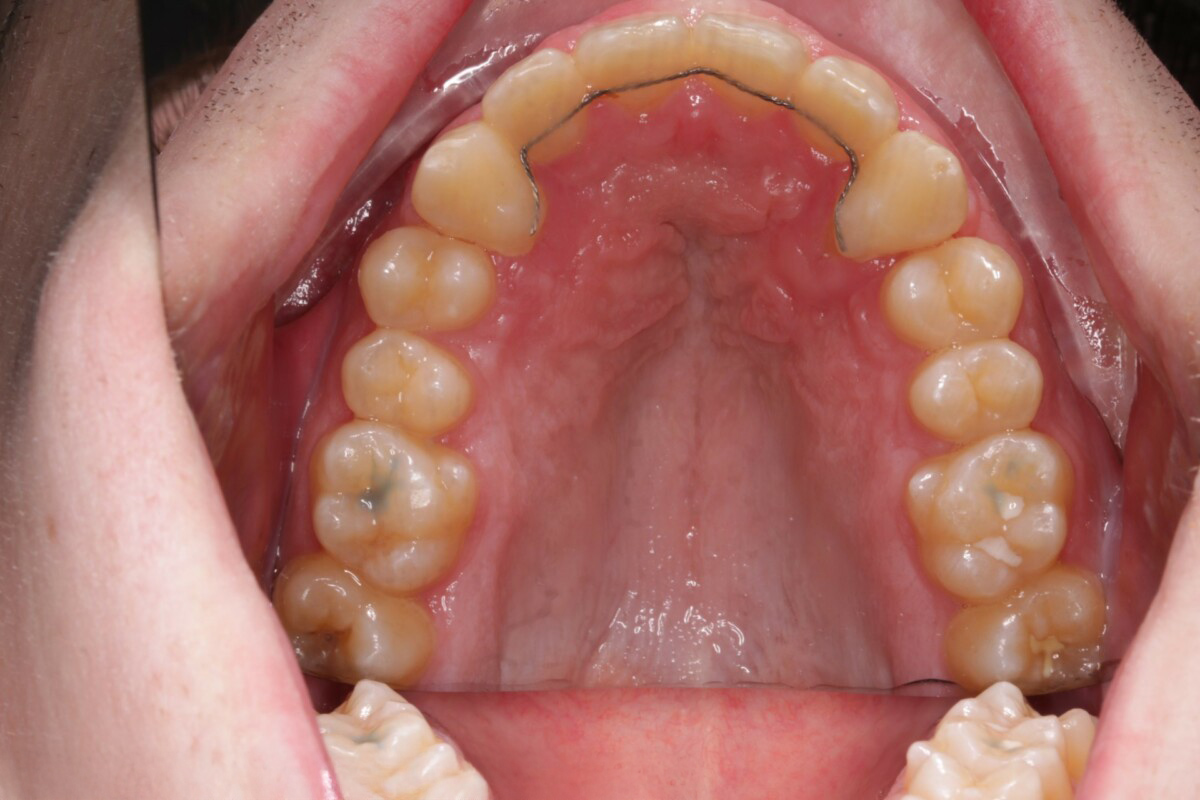
D.m.v. een vaste beugel






Spleetjes tussen de tanden/kiezen d.m.v. vaste apparatuur of Aligners






Wordt gebruikt om de bovenkaak te verbreden en de achterste molaren in de juiste positie te brengen




Chirurgisch verwijderen van tandvlees) uitgevoerd door de kaakchirurg


D.m.v. een Herbst






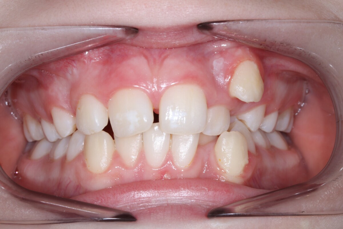
Tanden die niet op de juiste plaats in de tandboog zijn doorgebroken). Een kaakchirurg zorgt er, middels een chirurgische ingreep, voor dat de geïmpacteerde hoektanden op de juiste plaats kunnen worden gebracht. De orthodontist doet dit, na de ingreep, met behulp van een beugel.




Als de bovenste tanden achter de onderste tanden bijten in plaats van andersom







